コンテンツブロックが有効であることを検知しました。
このサイトを利用するには、コンテンツブロック機能(広告ブロック機能を持つ機能拡張等)を無効にしてページを再読み込みしてください
✕
ログイン
会員登録
マイページ
大人女性のホンネに向き合う
HOME
恋愛・結婚
エンタメ
ライフスタイル
生き方
ビューティ
ファッション
グルメ
ニュース・社会
特集
女子SPA!
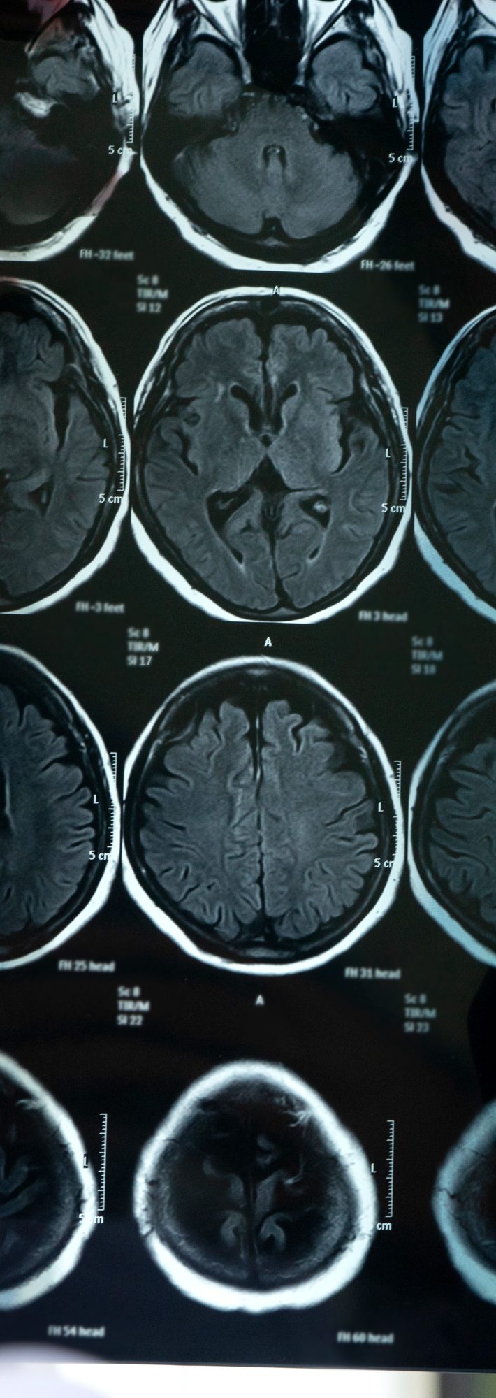
脳梗塞で倒れた夫にがんまで発覚。病室で“夫の切ない一言”に号泣
脳梗塞の原因が判明、告げられた病名は…
Lifestyle
2020.09.08
脳梗塞で倒れた夫にがんまで発覚。病室で“夫の切ない一言”に号泣
☓
<<
この記事を読む
>>
特集
シリーズ 「実録!私の人生、泣き笑い」【絶賛更新中!】
シリーズ「買ってよかったもの」【絶賛更新中!】
マンガ『アラサーちゃん』名作集
インフォメーション
週刊SPA!編集部 コミック編集者募集!
SPA!Web編集部 編集者募集!
「女子SPA!」のフリーランス編集者募集
アクセスランキング
1
木村拓哉YouTubeで54歳俳優が“30年以上前”の発言を謝罪「一番愚かだった...
2
スタバの「2800円クッキー缶」開けたら凄かった!フラペチーノやタンブラーよりも...
3
ローソンでしか買えない“無印良品550円たためるバッグ”が使い勝手良すぎ! エコ...
4
「安い納豆は体に良くない」は本当? 3つの不安を検証。“タレ無し”を選ぶメリット...
5
修学旅行でハワイに来た日本人高校生たちに“戸惑ってしまった”ワケ。ハワイ移住した...
新着記事
「最近の男はマナー知らず」と怒る39歳女性、そのマナーの中身に仰天...
「女は監督になれなかった」「可愛くしないと売れない」―男社会に抗っ...
知ってる人だけ得をする「PayPay」の活用術。未対応サイトでも使...
皇室ファッションが「古臭く見えない」納得の理由。4人の装いに学ぶ“...
死刑判決を受けて「バンザイ!」と叫んだ23歳女性―たったひとりで国...
体にいいと思ってたのに…実は腸を荒らす「野菜ジュース」。買う前にチ...
「車中泊できるハイエースを買った」人気女性芸人が語る、40代で挑戦...
死者と遺族に寄り添う。米倉涼子主演『エンジェルフライト』最新作も胸...
別れたいと言ったら彼が豹変、手渡された“分厚い封筒”の中を見てドン...
作家こだまが綴る小説『けんちゃん』の原点「けんちゃんの気持ちを落ち...
配信契約用YDN※削除厳禁(非同期タグ)
余白