コンテンツブロックが有効であることを検知しました。
このサイトを利用するには、コンテンツブロック機能(広告ブロック機能を持つ機能拡張等)を無効にしてページを再読み込みしてください
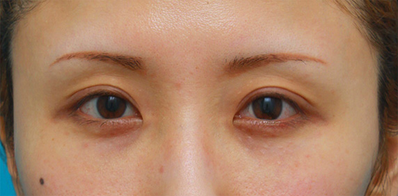
眼瞼下垂の手術をしたら、二重もくっきり(高須クリニック公式サイトより)