コンテンツブロックが有効であることを検知しました。
このサイトを利用するには、コンテンツブロック機能(広告ブロック機能を持つ機能拡張等)を無効にしてページを再読み込みしてください
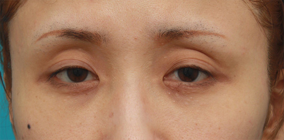
二重にして目を大きくしたい、という要望で来た患者さん。眼瞼下垂が見られる