ということは、マンモグラフィより超音波検診(エコー)を優先した方が安心なのでしょうか。
「エコーでも乳腺が白く、脂肪が黒く写るのですが、腫瘍が黒く写るので、
結局判別しにくいことに差はないんです。またエコーの場合、技師による技術の差がありますのでなんとも……。
理想的なのは、触診、マンモグラフィ、エコーと段階を踏んで検診をすることでしょうね。ただ現実問題として、そこまで慎重にやるかどうか、という問題があると思います。経済的にも精神的にも負担の掛かることですから。
原則的には、
特になにも心配がなければ30代まではエコー、40代はエコーとマンモグラフィを併用、50代以降はマンモグラフィを受けるのが良いのではないかと思います」

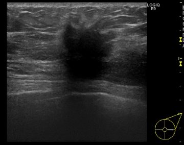
超音波検診(エコー)の画像/画像提供:東京クリニック 乳腺外科
とはいえ、何歳であっても親族に乳がんを患った人がいる場合や、自己触診で違和感を覚えた場合などは、一通りの検査を行うことを勧めるとのことでした。
また、
妊娠中・後など、いつもとは違う胸の状態のときは症状に気づきにくいそうなので、いつもより注意した方がよいそう。報道によると、小林麻央さんが人間ドックで乳がんと診断されたのは2014年10月。長男の勧玄くんが生まれたのが2013年の3月22日なので、診断された際は授乳期間中であった可能性があります。
さて、自分では知ることのできないデンスブレストですが、その存在を知っているか否かで、乳がんに対する関心や危機管理への意識が変わってくるはず。筆者も次回の乳がん検診の際には、
自分の胸がデンスブレストかどうか聞いてみようと思いました。
デンスブレストを考慮して「乳がん検診」を行っている施設もあるようです。
こちらは、都内の施設の一覧。どうぞ参考にしてみてください。
【志賀千鶴子 プロフィール】
東京クリニック 乳腺外科の医師。乳がん検診と乳がんの診断、手術、治療が専門。
東京クリニック HP(http://www.tokyo-cl.com/)
※次回は、乳がんの「自己触診」についてご紹介します。
<TEXT/波多野友子>